Elbow Dislocation Treatment in Raleigh, NC
What is Elbow Dislocation?
Elbow dislocation is the second most common large joint dislocation in adults, occurring when the bones of the forearm (radius and ulna) separate from the upper arm bone (humerus). Posterior dislocations, where the forearm bones move backward relative to the humerus, account for the majority of cases. These injuries typically result from falls on an outstretched hand.
Elbow dislocations are classified as either simple (without associated fractures) or complex (with fractures). Simple elbow dislocations represent the majority of cases and generally have favorable outcomes with appropriate treatment.
Symptoms and Diagnosis
Common signs of elbow dislocation include:
– Severe pain in the elbow
– Visible deformity of the elbow joint
– Swelling and bruising
– Inability to move the elbow
– Numbness or tingling in the hand or fingers
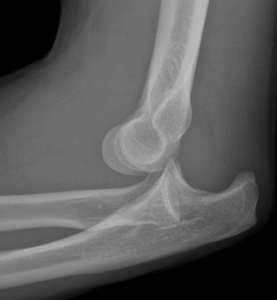
Emergency evaluation includes physical examination to assess neurovascular status (pulses, sensation, and motor function) and imaging studies. X-rays confirm the dislocation and identify any associated fractures. In cases where vascular injury is suspected, additional imaging such as angiography may be necessary.
Treatment Options
Immediate Treatment: Reduction
The first step in treating an elbow dislocation is reduction—returning the bones to their proper position. This procedure is typically performed in the emergency department under sedation or anesthesia. Several reduction techniques exist, including traction-countertraction and the modified Stimson technique.
After successful reduction, post-reduction X-rays and neurovascular examination are essential to confirm proper alignment and rule out complications.
Conservative (Non-Surgical) Treatment
Conservative treatment with early mobilization is the first-line therapy for most simple elbow dislocations. Current evidence strongly supports early functional rehabilitation over prolonged immobilization.
Immobilization Period:
– Brief splinting for 3-7 days for comfort and initial healing
– Avoid prolonged immobilization beyond 2 weeks, as this is associated with worse outcomes
Early Mobilization Protocol:
– Begin gentle range-of-motion exercises within the first week after injury
– Focus on flexion-extension and pronation-supination movements
– Overhead motion protocols may be used, which convert gravity from a distracting to a stabilizing force
– Progressive strengthening as tolerated
Studies demonstrate that early mobilization achieves superior outcomes compared to prolonged immobilization, with better range of motion, fewer complications, and higher patient satisfaction scores.
Surgical Treatment
Surgical intervention may be indicated in specific situations:
Indications for Surgery:
– Persistent instability after reduction
– Severe bilateral ligament injuries
– Moderate to severe instability on initial physical examination
– Inability to maintain reduction with conservative treatment
– Persistent dislocations (lasting more than 3 weeks)
– Associated fractures requiring fixation
Surgical procedures typically involve open reduction and ligament repair or reconstruction. When surgery is performed, early mobilization postoperatively remains crucial for optimal outcomes.
Expected Outcomes
Range of Motion
With appropriate treatment, most patients achieve excellent functional outcomes:
– Early mobilization groups: average flexion-extension arc of 137 degrees
– 1-3 week immobilization: average flexion-extension arc of 129 degrees
– Surgical treatment: average flexion-extension arc of 128 degrees
Long-Term Results
Long-term studies (14-25 years follow-up) show that patients treated with short splinting and early movement maintain excellent outcomes over time, with high satisfaction scores and preserved functional range of motion.
Common Residual Symptoms
While outcomes are generally favorable, some patients experience:
– Residual stiffness (reported by approximately 56% of patients)
– Mild pain (reported by approximately 62% of patients)
– Subjective instability (reported by approximately 8% of patients)
– Loss of terminal extension (typically 5-10 degrees)
These symptoms are usually mild and do not significantly limit daily activities.
Complications
Potential complications of elbow dislocation include:
Immediate Complications:
– Neurovascular injury (nerve or blood vessel damage)
– Compartment syndrome
– Inability to achieve or maintain reduction
Late Complications:
– Persistent stiffness or loss of range of motion
– Chronic pain
– Posterolateral rotatory instability
– Ectopic ossification (abnormal bone formation)
– Post-traumatic arthritis
– Persistent medial (valgus) instability
Prolonged immobilization significantly increases the risk of stiffness and poor functional outcomes.
Rehabilitation and Recovery
Timeline
– Week 1: Gentle active range-of-motion exercises begin
– Weeks 2-4: Progressive increase in motion and light activities
– Weeks 4-8: Gradual strengthening exercises
– Months 2-6: Return to full activities and sports
Key Rehabilitation Principles
– Avoid passive stretching or forceful manipulation
– Focus on active motion within pain-free ranges
– Gradually progress resistance exercises
– Monitor for signs of instability or excessive pain
Return to Activities
Most patients can return to normal daily activities within 6-12 weeks. Athletes may require 3-6 months before returning to competitive sports, depending on the sport and individual recovery.
When to Seek Medical Attention
Seek immediate medical care if you experience:
– Suspected elbow dislocation
– Numbness, tingling, or weakness in the hand after injury
– Pale or cold hand/fingers
– Severe pain not controlled with medication
– Signs of infection after treatment (fever, increasing redness, warmth)
– Recurrent instability or giving way of the elbow
Prevention
While elbow dislocations cannot always be prevented, risk reduction strategies include:
– Using proper protective equipment during sports
– Maintaining good upper extremity strength and flexibility
– Avoiding high-risk activities when fatigued
– Learning proper falling techniques in contact sports
Conclusion
Elbow dislocation is a serious injury that requires prompt medical attention and appropriate treatment. Conservative management with early mobilization represents the gold standard for simple elbow dislocations, achieving excellent long-term outcomes in the majority of patients. Surgical intervention is reserved for cases with persistent instability or associated fractures. With proper treatment and rehabilitation, most patients can expect to return to their normal activities with good functional recovery.
Why Choose Dr. Chambers for Hand and Wrist Care
At Raleigh Orthopaedic Clinic, Dr. Stephen Chambers specializes in hand and upper extremity surgery. With years of expertise in treating hand and wrist injuries, including Elbow Dislocation, Dr. Chambers provides comprehensive care—ranging from at home treatments and injections to advanced hand surgery when needed. Patients trust Dr. Chambers and his team for personalized care, effective treatment options, and excellent outcomes and describe Dr. Chambers as a caring, attentive, and skilled surgeon with excellent bedside manner. His amazing team ensures every patient feels supported and informed throughout the process.
If you are experiencing finger pain, swelling, or difficulty with wrist movements, don’t wait for symptoms to worsen. Schedule an Appointment with Dr. Chambers today Elbow Dislocation and get back to normal use of your hand . Experience the benefit of specialized hand care close to home at Raleigh Orthopaedics in Raleigh, Cary, Holly Springs, and Wake Forest, North Carolina.

