Distal Radius Fracture Treatment in Raleigh, NC
Distal Radius Fracture Surgery in North Carolina
A distal radius fracture—commonly known as a broken wrist—is one of the most frequent orthopedic injuries seen in adults. This type of fracture occurs when one of the two bones in the forearm, the radius, breaks near the wrist joint. It often happens after a fall on an outstretched hand orfrom a high-energy injury like a car accident, sports trauma, or work-related accident.
Dr. Stephen Chambers provides expert diagnosis and treatmentfor wrist fractures across Raleigh, Holly Springs, Cary and Wake Forest, North Carolina. He offers both non-surgical and surgical options to restore wrist strength, motion, and function, helping patients reduce pain and return to their everyday activities as quickly and safely as possible.
Understanding Distal Radius Fractures
The radius bone runs along the thumb side of your forearm and connects with the carpal bones at the wrist joint. When this bone breaks close to the wrist, it is referred to as a distal radius fracture. Depending on how the wrist bent backward during injury, patients may sustain a Colles
fracture (radius tilts upward) or a Smith fracture (radius tilts downward). A Colles fracture occurs when the wrist is bent backward after falling on an outstretched hand, which is one of the most common injury mechanisms.
Many wrist fractures occur when someone falls onto an outstretched hand or lands on a bent wrist. While some breaks are clean and stable, others are displaced, comminuted, or intra-articular fractures that extend into the joint surface. These fractures may involve the radial styloid, the small bony prominence on the outer edge of the wrist, or extend into nearby carpal bones like the scaphoid. It’s not unusual for distal radius and scaphoidfractures to occur together in severe trauma.
Types of Wrist Fractures
Distal radius fractures are categorized by the fracturepattern and degree of displacement.
Common examples include:
- Colles fracture – radius tilts upward when the wrist bends backward
- Smith fracture – radius tilts downward
- Extra-articular fracture – break outside the joint
- Intra-articular fracture – fracture extends into the joint surface
- Displaced fractures – broken pieces of bone move out of alignment
- Open fracture – bone breaks through the skin
- Comminuted fracture – multiple broken pieces of bone
- Radial styloid fracture – fracture through the lateral portion of the radius near
the wrist
These distinctions help your orthopedic surgeon determine whether the injury can heal with a cast or splint or if it requires open reduction internal fixation (ORIF). Some complex patterns may need fragment-specific fixation, where small plates are used to stabilize each individual bone fragment for precise alignment and optimal healing.
How a Distal Radius Fracture Happens
Most fractures occur from a fall on an outstretched hand, especially when the wrist is extended to brace the fall. The broken bone may shift or collapse if the impact is severe.
Other risk factors include osteoporosis, poor bone health, or high-energy injuries such as a fall from standing position or an auto accident.
In older adults, even a minor fall can lead to a Colles fracture, while in younger patients, the fracture usually follows a more violent mechanism.
Symptoms of a Broken Wrist
Patients often describe severe wrist pain, swelling, and visible deformity after the injury.
Common symptoms include:
- Swelling and bruising around the wrist joint
- Difficulty moving or bending the wrist
- Tenderness on the thumb side of the wrist
- Numbness or tingling in the fingers
- A wrist that appears bent or deformed
If your wrist looks crooked or swollen after a fall, seek immediate medical attention. Many wrist fractures require prompt care to ensure the bones heal properly and do not affect wrist function in the long term.
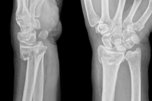
Diagnosis and Imaging
A proper diagnosis begins with a physical exam and review of your injury history.
Dr. Chambers will assess the soft tissues, ligament injuries, and nerve function, followed by X-rays of the wrist.
In complex or intra-articular fractures, advanced imaging such as CT scan or magnetic resonance imaging (MRI) may be ordered to evaluate the broken pieces, joint alignment, and surrounding structures.
Some patients first visit an urgent care center or the emergency room, where initial X-rays and splinting are performed before referral to an orthopedic specialist. Dr. Chambers personally reviews all
imaging studies to confirm proper diagnosis and plan the most effective treatment for each individual case.
Non-Surgical Treatment Options
Not every radius fracture requires surgery. If the bones are properly aligned, treatment may involve a closed reduction—manually repositioning the bones—followed by immobilization in a cast or removable brace. During recovery, patients wear the cast for four to six weeks while the
bone heals.
Non-surgical treatment is typically recommended for:
- Stable or non-displaced fractures
- Good bone health and alignment
- Extra-articular fractures
- Patients with medical conditions that increase surgical risk
Dr. Chambers closely monitors healing through repeat X-rays to ensure the bones stay aligned. As swelling improves, you may be transitioned from a full cast to a removable brace for added comfort and hygiene.
When Surgery Is Needed
Surgery is often necessary when the fracture is displaced, intra-articular, or unstable. If the broken end of the radius cannot be held in proper position with a cast, open reduction internal fixation (ORIF) restores the bone to its correct position and stabilizes it for proper healing.
Other reasons to consider surgery include:
- Bones that shifted despite casting
- Loss of wrist function or motion
- Fractures extending into the joint surface
- Severe fractures involving multiple fragments
- Fractures with associated scaphoid or carpal bone injury
In rare cases, an external fixator—a metal frame that stabilizes the wrist from the outside—may be used temporarily until the soft tissues recover enough for internal fixation. While this technique is less common today, it remains useful for open fractures or cases with significant
swelling and soft tissue trauma.
Open Reduction Internal Fixation (ORIF) Procedure
During distal radius fracture surgery, the orthopaedic surgeon makes a small incision over the wrist and realigns the broken bone fragments.
A metal plate and screws are then placed on the bone to keep the pieces properly aligned during healing.
This procedure allows immediate stability and faster return to wrist movement compared to prolonged casting.
For more complex injuries, fragment-specific fixation may be used to target multiple fracture lines or articular fragments. This ensures precise restoration of the wrist joint and reduces the risk of long-term stiffness or arthritis.
What to Expect After Surgery
- After internal fixation, patients are typically placed in a soft dressing or splint.
- Dr. Chambers encourages early finger movement to prevent stiffness and improve circulation.
- The incision is kept clean and dry to prevent infection, and ice packs may be
used to reduce swelling and pain. - Follow-up visits and X-rays ensure the bones remain in position and fracture healing
progresses appropriately. - Physical therapy is usually initiated once the fracture has begun to unite, allowing the patient to regain motion safely.
Recovery and Rehabilitation
Most patients begin gentle wrist motion within a few weeks after surgery, depending on the stability of the fixation.
As the bone heals, you will start physical therapy to restore wrist function, range of motion, and strength. Therapy helps reduce pain and stiffness while improving grip and dexterity for everyday activities.
Physical therapy focuses on:
- Regaining range of motion
- Improving grip strength
- Reducing stiffness
- Encouraging functional use of the hand and wrist
Recovery time can vary depending on age, bone quality, and fracture severity. For most patients, wrist fracture recovery takes about three to six months. Those with good bone health and strong participation in therapy often achieve excellent functional outcomes.
Possible Complications
While most distal radius fracture surgeries heal well, potential complications include:
- Infection at the incision site
- Nerve irritation or tendon injury
- Stiffness or loss of motion
- Delayed union or nonunion
- Hardware irritation requiring later removal
- Persistent pain or swelling that limits motion
In rare situations, additional procedures or a second surgery may be necessary if the hardware causes irritation or if healing is delayed. Dr. Chambers minimizes these risks by using modern fixation techniques and closely monitoring each patient’s recovery.
Life After Distal Radius Surgery
Once the bone heals, patients gradually return to normal activities. You may notice mild soreness or stiffness when lifting or twisting for several weeks. With consistent physical therapy, most patients regain excellent wrist function and can return to work, sports, and hobbies. For patients with heavy lifting or repetitive hand use at work, Dr. Chambers provides a structured return-to-duty plan to prevent re-injury.
Preventing Future Wrist Fractures
Strong bone health is essential to reduce the risk of another injury. Dr. Chambers encourages maintaining adequate calcium and vitamin D intake, regular weight-bearing exercise, and balance training to prevent falls—especially for older adults. He also discusses ways to avoid future trauma, such as improving home safety and using protective gear for sports or physically demanding work.
For those with osteoporosis or other risk factors, bone density screening and medical management may further protect against future fractures. Maintaining a healthy lifestyle and proper nutrition helps ensure strong bones and good long-term outcomes after surgery.
Why Choose Dr. Chambers for Wrist Fracture Treatment
Dr. Stephen Chambers is a board-certified orthopedic hand and upper extremity surgeon specializing in the treatment of distal radius fractures, Colles fractures, scaphoid fractures, and other hand and wrist injuries. He offers advanced orthopedic surgery and personalized treatment
options to help patients heal fully and regain function.
Patients throughout Raleigh, Cary, Holly Springs, and Wake Forest all trust Dr. Chambers for his compassionate care, precise surgical technique, and dedication to helping every patient recover from a broken wrist or other injuries of the upper extremity.
Schedule Your Appointment
If you’ve suffered a broken wrist or radius fracture, don’t wait for pain and stiffness to worsen. Whether you were seen in an urgent care center, an emergency room, or by your primary doctor, follow-up with an orthopedic specialist is essential for proper healing. Early treatment ensures
the bones align correctly and heal in a proper position for the best long-term results.
Call Raleigh Orthopaedic Clinic today to discuss with Dr. Stephen Chambers, and take the first step toward restoring comfort, mobility, and strength in your wrist.

